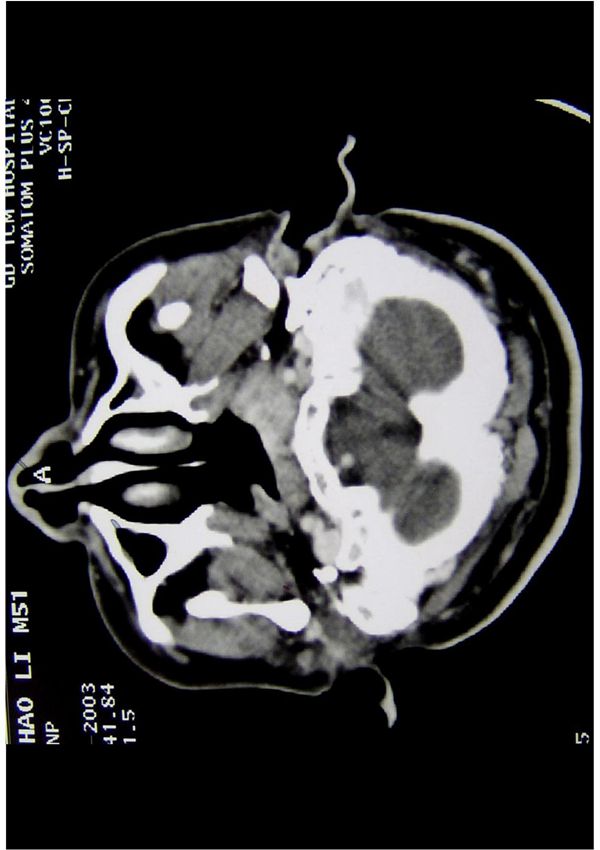
鼻咽癌放疗是放射肿瘤学中的重要治疗内容。根据《放射肿瘤学》教材,鼻咽癌对放射线敏感,放疗是其主要的治疗手段。针对早期鼻咽癌(I-II期),单纯放疗即可获得较好疗效;对于局部晚期病例(III-IV期),通常采用同步放化疗的综合治疗模式。放疗技术推荐使用调强放疗(IMRT),该技术能精确覆盖靶区同时保护周围正常组织,特别是减少腮腺、颞叶等重要器官的照射剂量。靶区勾画需包括原发灶、咽后淋巴结及颈部淋巴结引流区,照射剂量通常为原发灶70Gy/35次,高危区60-66Gy,低危区54-56Gy。放疗期间需密切观察患者的口腔黏膜反应、皮肤反应及骨髓抑制等不良反应,及时给予对症处理。放疗后需长期随访,监测局部控制情况、远处转移及晚期放射性损伤。
